|
喉咙卡骨头、鱼刺,相信不少人都有过这种经历。但很多人可能会选择喝醋、吞饭的方法,但其实,异物卡喉是需要谨慎处理的!我们先一起来看几个异物卡喉的病例。

2岁小孩误吞硬币半小时来就诊,CT图像上可以看到硬币卡在喉咙里,没有卡入气管。

左:3岁小孩误吞入硬币1个多小时,拍片可以看到硬币已进入胃肠道。
右:6岁小孩误吞小石头,拍片可以看到已进入胃部。
误食硬币、弹珠、磁铁等都是可以在影像学中表现出来的,拍片的目的是明确异物的位置及对邻近器官的影响,以此判断异物产生损害的风险大小。而骨头、鱼刺卡喉拍片是看不出来的,需要我们做CT观察内部情况,结合后处理三维观察异物情况。

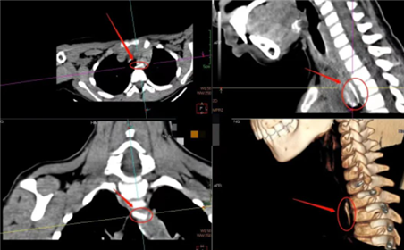
5岁女孩被猪骨卡喉半小时。

43岁大叔4小时前被鸡骨卡咽喉,且刺穿食管,引起食管周围及上纵膈内较多游离气体。

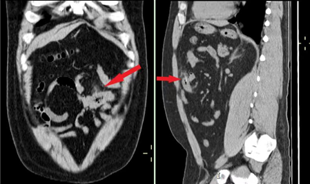
23岁小伙不慎吞咽鱼刺2天后腹痛入院,腹部CT图像上可见左下腹小肠内一细条状高密度异物(鱼刺)并部分穿破肠壁进入腹腔。
从以上病例可知,对身体产生损害的风险大小主要取决于异物的性质、形状、大小以及滞留部位,较小且光滑的异物可能只产生异物感,较大且锐利的异物则能引起梗阻、消化道黏膜损伤甚至引起出血、穿孔等并发症,同时异物嵌顿时间越长,并发症发生的几率越大。如果异物比较尖锐,像是带尖的枣核、较大鱼骨等,需完善CT,明确食管有没有被穿透,有没有刺伤到邻近的血管。如果仅仅是在食道内,没有累及到周围的血管和其他组织,可以尝试在内镜下取出。如果已经嵌顿造成相邻近的大血管的刺伤,这种情况需要外科手术治疗。
那么哪种误食可以观察,哪种误食需要立即处理?
1.判断异物是进入呼吸道还是消化道
首先要判断异物是进入呼吸道还是消化道。异物一旦进入呼吸道,会引起频繁的呛咳;如果异物够大,就会引起呼吸困难、紫绀等危险的情况,这个时候是必须立刻用海姆立克法去把它清理出来的,并毫不犹豫地及时就医。
2.异物通过咽喉进入食道
如果是异物的确通过咽喉进入了食道,就要看有没有食道梗阻的情况,最好在判断清楚以前,不要贸然进食进水,以免加重病情,保险起见,立即就医。如果卡在食道,也需要及时就医,千万不要试图行海姆立克法清除食道异物。
3.异物进入了胃、肠
即便是异物没有卡在食道,比较顺利地进入了胃、肠,但如果是尖锐的(比如别针、枣核、钉子等)或具有腐蚀性的(主要是电池),尤其是新型的异物(比如吸水膨大珠、磁性珠等),都需要及时地取出。
医学影像部/昌兴菊 |