|

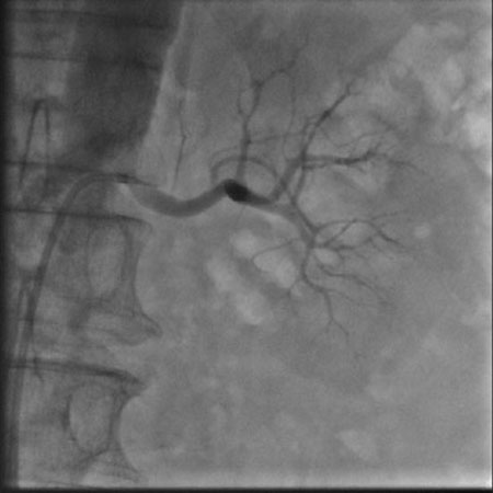
肾动脉造影(左) 
肾动脉造影(左) 2月6日,我院心内科在上海普陀区中心医院心内科刘宗军主任指导下开展了我省首例肾动脉交感神经射频消融术。目前患者病情稳定,一周后复查动态血压,平均收缩压已从术前157mmHg降至137mmHg,患者已出院在继续随访中。 肾动脉交感神经射频消融术用于难治性高血压的治疗,于2008年在美国首先应用于临床,属介入手术,只需穿刺肾动脉进行手术,治疗完成后1—3月内患者血压即可明显下降,最大降幅可达30—40mmHg。术后患者服用少量降压药物即可将血压控制在良好水平,部分患者可以永久摆脱降压药物。从而避免了终生服用降压药带来的经济负担、生活不便和副作用影响。 心内科此次开展的肾动脉交感神经射频消融术在我省还属首例。目前国内仅北京、重庆、上海等少数医院开展该项手术。 高血压是最常见的心血管疾病,其中顽固性高血压患病率为5%-30%。肾动脉交感神经射频消融术的开展,对于提高高血压的控制率,减少和延缓并发症的发生具有重大意义,是近年来心血管领域最重要的进展之一。该手术的开展,属国内先进、省内领先的行列。(心内科 李燕萍 郝应禄) |